CELL LINES

Contributor Information
- Name Ziv Shulman, Irit Sagi, Roei Mazor
- Institute Weizmann Institute of Science
- Primary citation Mazor et. al.. Cell, 2022. Mar 31,185(7):1208-1222. PMID: 35305315
Tool Details
- Tool name: MSS-AS22 cell line
- Alternate names: AS22
- Tool type: Cell line
- Organism: Human
- Tissue: Ascites
- Gender: Female
- Cancer type: Gynaecologic cancer
- Disease: Cancer
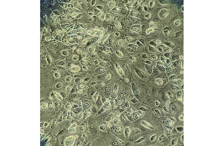
- Morphology: Polymorphic trapezoid cells arrenging in a cobblestone appearance with large cytoplasmic surface area
- Growth properties: Adherent
- CRISPR: No
- Products or characteristics of interest: p53 mutant, EpCAM(+)
- Application: Flow cytometry, Immunofluoresence staining and confocal microscopy
- Description: The cell line established directly from a tumor compartment (ascites) of chemonaive HGSOC patient. Thus it closely recapitulates the tumor compartment as it emerged in these patients.
- Research area: Cancer; Immunology; Cell biology; Cell signaling and signal transduction; Metabolism
- Production details: Fresh HGSOC ascites sample was retrieved from the operating theatre. Primary culture was established from this specimen as previously described (O Donnell et al. 2014) and used after 2-3 passages. Cell preparation included removing fibroblasts as well as all non-adherent cells from the culture. 100% of the cultured cells were EpCAM positive (324207, Biolegend, 1:200).
- For Research Use Only
Target Details
Application Details
- Application: Flow cytometry, Immunofluoresence staining and confocal microscopy
Handling
- Passage number: P2-3
- Growth medium: DMEM media supplemented with 10% (v/v) foetal bovine serum, 1% (v/v) MEM-Eagle non essential amino acids, 1% (v/v) 2mM glutamine and 1% (v/v) Pen-Strep solution
- Temperature: 37 °C
- Atmosphere: 5% CO2
- Volume: Frozen
- Storage medium: FBS + 10% (v/v) DMSO
- Storage conditions: Liquid Nitrogen
- Shipping conditions: Dry ice
- Characterisation tests: In flow cytometry, 100% of the cultured cells were EpCAM positive (324207, Biolegend, 1:200). See tab "EpCAM validation"
- Initial handling information: Thaw rapidly in preheated 37 °C growth media, centrifuge for 4 minutes in 300G, discard media, re-suspend and plate in preheated 37 °C growth media
- Cultured in antibiotics?: Penicillin / streptomycin
- Biosafety level: 1
- Subculture routine: Slow growing cell line (doubeling time is roughly 96-120 hours). Trypsinize for 3-4 minutes in 37C until cells separate, add growth media (X4 volumes of trypsin). Split 1:2. Resuspend in growth media
Related Tools
References
- • Mazor et. al.. Cell, 2022. Mar 31,185(7):1208-1222. PMID: 35305315